妙手回春,光明重见——我院耳鼻咽喉科通过内镜微创手术顺利救治一名侵袭性霉菌病致失明患者
来源:宋升桥 发布时间:2026-03-06 08:53:00 浏览次数:2682

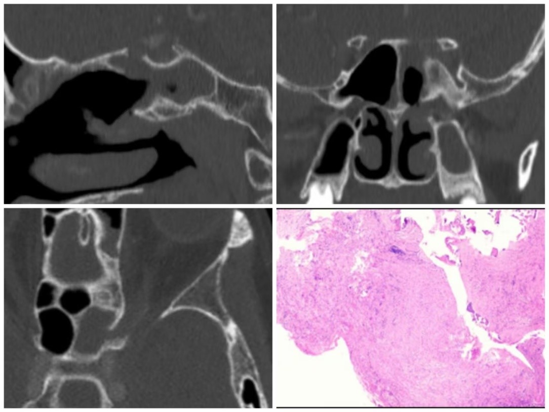
近日,我院凭借精湛的内镜微创技术,救治了一名66岁侵袭性真菌性蝶窦炎、视神经炎患者,助其恢复视力。患者先前因头痛和视力减退在外院就诊并接受手术治疗,但术后未能明确诊断导致治疗效果不佳。转入我院后,患者左眼已完全失去视力,无光感,头痛剧烈,经诊断发现霉菌组织侵犯视神经周围及鼻颅底区域。若不及时干预,将面临永久性失明、病变波及颅内甚至危及生命的风险。


我院鼻颅底专业医疗团队在王德辉教授的带领下,迅速开展多学科会诊,综合多方意见,精准研判、周密制定手术方案,采用内镜微创技术,精细切除视神经周围及鼻颅底受霉菌侵犯的病变组织。与此同时,视神经减压术同步实施,精准清除病灶、解除视神经压迫,最大程度保护正常组织与神经功能,并给予患者抗真菌治疗。术后,患者头痛已基本缓解,病理报告证实急性侵袭性霉菌病,视神经受真菌侵蚀。

患者出院前,我院医疗团队再次进行术腔的清理检查,同时给予抗真菌药局部术腔填塞。术后3周,患者左眼视力以无光感恢复到眼前指数。从视力丧失的绝望,到光明重见的欣喜,患者及家属对治疗效果非常满意,也向王德辉教授团队表达了感谢,称赞了团队的精湛技术和贴心服务。

苏大附四院耳鼻咽喉科鼻颅底专业团队深耕鼻颅底、视神经相关疑难病症诊疗,依托先进内镜技术与多学科协作优势,攻克复杂病例、守护患者健康。妙手回春,光明重见,用专业医术为每一位患者守住光明,守护生命。