近日,我院急诊与重症监护室上演了一场惊心动魄的生命救援。20岁的贾先生(化名)因严重车祸导致创伤性主气道断裂,这是一种死亡率极高的损伤。面对这一罕见的“外科危急症”,我院急诊科、耳鼻喉科、麻醉科、胸外科、急诊ICU等多学科团队快速响应、精准判断、默契配合,凭借高超的技术和紧密的协作,挽救了患者的生命。
深夜的呼救:罕见的危重创伤
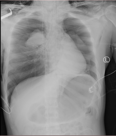
患者入院时虽神志尚清,但已出现声音嘶哑、颈部疼痛、胸闷气喘等危险信号,血氧饱和度持续下降。我院急诊团队评估后立即启动最高级别预警,迅速完成生命体征监护和检查的同时,敏锐地察觉到患者颈部正在快速肿胀,这是皮下气肿的典型表现,预示着气道可能存在严重破损。我院耳鼻喉科专家通过喉镜探查,做出了关键性判断:高度怀疑喉软骨骨折、气管断裂。后续CT检查结果印证了这一判断,患者双侧颌面部、颈部、胸部乃至纵隔内出现了大量积气。更危急的是,断裂处漏出的气体已形成双侧张力性气胸,双肺被压缩均近50%,心脏和大血管严重受压,情况十分危急!


多学科协作:与死神抢道的20分钟
患者气道严重变形导致常规的气管插管效果不理想,时间就是生命!急诊科、耳鼻喉科、麻醉科医生当机立断,决定立即行床旁紧急气管切开术。在濒死的危急关头,手术团队临危不乱,以精湛的技术迅速建立了新的“生命通道”,呼吸机得以顺利接上,为后续抢救赢得了最宝贵的“黄金时间”。与此同时,胸外科团队火速到位,为患者施行双侧胸腔闭式引流术。当引流管置入胸腔的瞬间,大量高压气体喷涌而出,被严重压缩的肺脏得以复张,心脏的压迫即刻解除,患者的氧合指标得到了极大改善。
精准施治:多学科协作实施高难度重建手术
随后,患者被转入EICU(急诊重症监护室)进行高级生命支持。面对创伤性湿肺、纵隔皮下大量气肿、潜在的感染风险以及脑积水等复杂情况,在全身麻醉下,我院耳鼻喉科、麻醉科、呼吸内科等科室组成的专家团队为患者进行了急诊手术。术中发现患者环状软骨下方多个气管环前方碎裂,右侧环状软骨缺损严重。手术团队精准操作迎难而上,为患者精细清创,彻底清理了颈部淤血及游离的碎骨片,为重建创造基础。随后,在纤维内镜辅助下进行气道探查,明确损伤范围,确保无遗漏。同时,术中巧妙地将右侧咽壁内环状软骨膜与左侧带状肌缝合,顺利完成喉部功能重建,并缝合了颈前碎裂的气管。手术最后顺利拔除临时细套管,更换为更安全的7.5号气切套管,保障了术后气道的通畅与安全。

重症守护:打赢后续生存保卫战
术后住院期间急诊医学科团队为患者制定了个性化的治疗方案:精准的呼吸机支持、持续的胸腔引流、抗感染、营养支持及多器官功能保护。每一个环节都凝聚着ICU团队的专业与坚守。
目前,患者生命体征已趋于稳定,患者逐步脱离呼吸机,过渡至气切面罩吸氧,神志恢复清晰,可遵嘱活动,后续已更换为金属套管。此次抢救,充分体现了我院作为区域性医疗中心,在应对极端危重创伤病例时,所具备的快速应急响应能力、高超的多学科协作(MDT)诊疗水平和强大的重症救治实力。从急诊室的准确识别,到多科室的联合手术,再到ICU的精心守护,每一个环节都紧密扣合,让生命的奇迹得以实现。