生命与时间的赛跑——苏大附四院多学科协作救治一名特重型多发伤患者
来源:杨碧宁 发布时间:2025-10-20 10:37:42 浏览次数:2910

近日,我院急诊与创伤中心上演了一场惊心动魄的生命救援。一名因车祸导致全身多处致命损伤、生命垂危的患者,在我院绿色通道快速协调以及多学科团队紧密协作下,最终转危为安。此次救治充分彰显了我院在处理急危重症多发伤方面的强大综合实力与高效的应急救治水平。

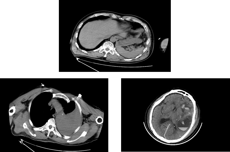
120急救车将居先生(化名)送至我院抢救室时,情况已经万分危急,时间就是生命!急诊抢救室团队立即启动应急预案,心电监护、吸氧、建立静脉通道、床边超声FAST筛查等抢救措施一气呵成。全身CT扫描提示患者全身上下存在颅脑、胸腔、腹腔等多处致命损伤。

面对如此复杂危重的病情,苏大附四院创伤中心立即激活多学科会诊(MDT)机制,神经外科、普外科、胸外科、血管外科与介入科等多个科室专家迅速集结抢救室。多学科专家团队迅速对患者病情进行了精准评估:患者遭受活动性大出血和创伤性凝血病威胁,并且膈肌破裂引起胸腔压迫,必须立即手术!

为了抓住“黄金一小时”抢救时间,创伤中心优化流程,救治团队“绕行”重症监护室(ICU),直接由抢救室送入手术室行急诊剖腹探查术,最大限度缩短术前时间。胸外科团队先行完成“胸腔闭式引流术”,为后续手术创造条件。普外科团队打开患者腹腔,术中见胸腹腔大量出血,出血量超过4000ml!团队迅速控制了出血点,并对破裂的脏器及膈肌进行了精细修补。麻醉团队全神贯注,为整个救治过程保驾护航。接连的手术犹如一场高难度的“拆弹”行动,环环相扣,紧张有序。术后患者被送入ICU进行高级生命支持。目前,患者生命体征已趋于平稳,正在后续康复治疗中。

此次顺利救治是我院建立现代化创伤救治体系的典型范例,院前急救、院内抢救、手术室手术的高效衔接,从快速精准诊断到多学科无缝协作,每一个环节都展现了医院应对极端复杂病情的强大能力。未来,我院将继续秉持“生命至上”的原则,不断优化急危重症救治流程,为守护人民群众的生命健康筑起最坚实的防线。